こんにちは 岡山市 中区 湊 くろせ歯科クリニックです。
先日こんな患者さんが来院されました。
「他の歯医者さんで虫歯がないと言われたのに右下の一番奥歯が痛いんです。」
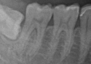
レントゲンを撮ってみるとたしかに虫歯はなさそうです。

ただ親知らず(一番左の横になっている歯)が潜っているので親知らずの周りが腫れたのかな?と疑いお話をさらに聞いてみました、すると
「冷たいものも温かいものもしみるんです。」
ん??通常親知らずの周囲の炎症の場合はあまり出ない症状です。どちらかというと虫歯の症状に近い。ただ虫歯はレントゲンみてもなさそう。私は
「歯軋りや食いしばりのご自覚はありますか?」と質問してみると、自覚あり。。。少しずつ答えが見えてきました。
そうです。歯にヒビが入っていたんです。下の写真はマイクロスコープで強拡大した映像です。

歯のヒビが神経まで入ると虫歯に似た症状がでてきます。案の定ヒビから最近が侵入し神経が腐っていました。
下の写真は歯に穴を開けたところですが健康な歯であれば出血してきます。全く血が出ず腐った組織でスカスカになっていました。

実は最近歯のヒビが原因で歯に痛みがでる患者さん、多く感じます。
しかもマイクロスコープを用いて歯をここまで拡大してみてみないとヒビが入っているかわからないことが多いです。

当院ではマイクロスコープを用いて治療を行うこともできます。お気軽にお問い合わせくださいね。。。













